Predstavlja najsavremenije dostignuće u svetu profesionalnog beljenja zuba! Ova procedura podrazumeva aplikovanje gela za adekvatnu zaštitu gingive. Nakon toga sledi aplikovanje Opalescense Boost gela za ordinacijsko beljenje zuba. Nakon 30 do 40 minuta dobijate 3 do 4 nijanse svetliju boju vaših zuba.

U prvoj poseti uzimamo otiske vasih zuba na osnovu kojih izradjujemo folije u koje se aplikuju gelovi za izbeljivanje. Folije se nose tokom noći, izrađene od tankog i veoma elastičnog materijala. Nakon 7 dana zakazujemo kontrolni pregled, na kojem odlučujemo o daljem planu terapije.

Navedena tehnika omogućava izbeljivanje devitalizovanih zuba koji su vremenom promenili boju. Aplikovanje gela se izvodi u nekoliko poseta u zavisnosti od početne boje avitalnog zuba.

Navedena tehnika omogućava izbeljivanje devitalizovanih zuba koji su vremenom promenili boju. Aplikovanje gela se izvodi u nekoliko poseta u zavisnosti od početne boje avitalnog zuba.

Keramički viniri imaju izuzetno prirodan izgled, sa prirodnim karakteristikama strukture i boje zuba. Moraju se pažljivo planirati putem analize pacijentovog osmeha, što zahteva izradu modela, foto i video zapis, kao i izradu wax up-a i privremenih akrilatnih vinira. Privremeni viniri nam omogućavaju da Vam unapred prezentujemo kako će Vaš osmeh izgledati, pre same izrade vinira. U trenutku kada Vi budete zadovoljni onim što vidite, tek tad se pristupa izradi definitivnog rada. Na taj način, zajedničkim donešenjem odluka, dolazimo do željenog rezultata bez neprijatnih iznenađenja.

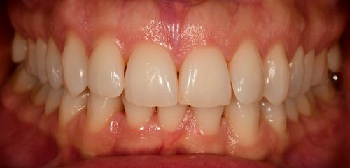
Napredak u razvoju keramičkih materijala omogućio je izradu estetski i funkcionalno idealnih bezmetalnih krunica koje zadovoljavaju najviše kriterijume u pogledu boje i oblika zuba. Mogu biti izradjene od zirkonija i litijum-disilikatne keramike, u zavisnosti od indikacije. Keramičke krune pored visokih estetskih karakteristika samog materijala, za razliku od metalokeramičkih kruna, pružaju besprekoran i prirodan izgled desni. Nakon fotografisanja i uzimanja otiska, pristupa se dizajnu privremenih kruna, na osnovu kojih pacijent stiče uvid u izgled definitivnog rada i ima mogućnost korigovanja boje, dužine i oblika zuba.

Holivud smile podrazumeva kompletnu rekonstrukciju svih zuba obe vilice bezmetalnim krunama, vinirima ili implantima. Njega karakteriše idealan raspored i svetla boja zuba.
